Çocuklarda Beyin Kanaması Belirtileri ve Tedavisi
Çocuklarda beyin kanaması, çeşitli sebeplerle oluşabilen ciddi bir sağlık sorunudur. Bu durum, beyin dokusunun hasar görmesine ve yaşamı tehdit eden komplikasyonların gelişmesine yol açabilir. Erken tanı ve müdahale, çocukların sağlığını korumak açısından kritik öneme sahiptir.
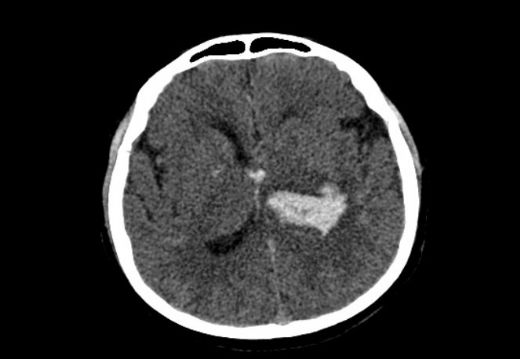
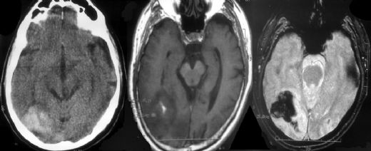
Çocuklarda beyin kanaması, çeşitli nedenlerle meydana gelebilen ciddi bir sağlık sorunudur. Bu durum, çocukların beyin dokusunun zarar görmesine ve yaşamı tehdit eden komplikasyonların ortaya çıkmasına yol açabilir. Beyin kanaması, kafatası içindeki kan damarlarının yırtılması veya sızdırması sonucu meydana gelir ve belirtileri, kanamanın türüne, yerine ve şiddetine bağlı olarak değişiklik gösterir. Beyin Kanaması Türleri Beyin kanamaları, çeşitli tiplere ayrılmaktadır. Bu türler arasında en yaygın olanları şunlardır:
Her bir kanama türü, farklı nedenlere, belirtilere ve tedavi yöntemlerine sahiptir. Belirtiler Çocuklarda beyin kanaması belirtileri, durumun ciddiyetine göre değişiklik gösterebilir. Aşağıdaki belirti ve semptomlar, beyin kanaması yaşayan bir çocukta gözlemlenebilir:
Bu belirtilerin herhangi biri, acil tıbbi müdahale gerektirebilir. Nedenler Çocuklarda beyin kanamasının birçok nedeni bulunmaktadır. Bu nedenler arasında:
Travmalar, çocuklarda en sık görülen beyin kanaması nedenidir ve bu nedenle çocukların güvenliğini sağlamak oldukça önemlidir. Tedavi Yöntemleri Beyin kanamasının tedavisi, kanamanın türüne, yerine ve çocuğun genel sağlık durumuna bağlı olarak değişiklik göstermektedir. Tedavi yöntemleri şunları içerebilir:
Sonuç Çocuklarda beyin kanaması, ciddi sağlık problemlerine yol açabilen bir durumdur. Belirtilerinin doğru bir şekilde tanınması ve erken müdahale, çocukların sağlığını korumak açısından hayati öneme sahiptir. Ailelerin, çocuklarının güvenliğini sağlamak için gerekli önlemleri almaları ve herhangi bir şüpheli durumda derhal tıbbi yardım almaları önerilmektedir. Ayrıca, çocuklarda beyin kanaması riskini azaltmak için düzenli sağlık kontrollerinin yapılması ve uygun sağlık hizmetlerine erişimin sağlanması önemlidir. |






































Çocuklarda beyin kanaması yaşadığınızda, bu durumun ne kadar ciddiyet taşıdığını anlıyor musunuz? Özellikle travmaların, çocukların hareketli yapısı nedeniyle sıkça yaşandığını belirtmek gerekli. Belirtiler arasında baş ağrısı, bilinç kaybı ve kusma gibi durumların varlığı, hemen müdahale edilmesi gerektiğini gösteriyor. Sizce bu tür durumlarla karşılaşmamak için çocuklarımızın güvenliğini sağlamak adına hangi önlemler daha etkili olabilir?
Çocukların Güvenliği İçin Önlemler
Necve, çocukların güvenliğini sağlamak adına alabileceğimiz bazı etkili önlemler bulunmaktadır. Öncelikle, ev içinde ve dışında çocukların oynayabileceği alanların güvenli hale getirilmesi önemlidir. Keskin köşelerin yumuşak malzemelerle kaplanması, kaygan zeminlerin düzeltilmesi ve tehlikeli eşyaların çocukların erişemeyeceği yerlerde saklanması gereklidir.
Gözlem ve Eğitim
Çocukların hareketli yapıları nedeniyle sık sık gözlemlenmesi ve onlara güvenli oyun alanları sağlanması da önemlidir. Ayrıca, çocuklara düşme, çarpma gibi durumları açıklayan basit eğitimler verilmesi, onların kendi güvenliklerini sağlama bilincini geliştirmelerine yardımcı olur.
Oyun Alanlarının Kontrolü
Açık hava oyun alanlarının da düzenli olarak kontrol edilmesi, güvenli ekipmanların kullanılmasına dikkat edilmesi ve gerektiğinde bakımlarının yapılması gerekmektedir. Bu tür önlemler, çocuklarımıza daha güvenli bir ortam sunarak olası kazaların önüne geçebilir.